Todos
sabemos porque lo hemos estudiado de niños cuando nos hablaron del
cerebro humano (y sino os lo recuerdo yo ahora), que el sistema
nervioso no está en contacto directo con el hueso que lo protege,
sino que está recubierto de unas membranas que llamamos meninges.
Existen tres capas de estas membranas que yendo  de fuera a dentro
denominamos Piamadre, Aracnoides y Duramadre.
La
duramadre recibe ese nombre por ser la mas dura de las tres, estando
formada por tejido fibroso organizado en dos hojas, de las cuales la
más externa está pegada al hueso haciendo de periostio. La capa
interna va pegadita a la membrana aracnoidea. Tiene tres
prolongaciones que penetran el tejido nervioso: 
- 
La hoz del cerebro: penetra en la cisura interehemisférica y separa ambos hemisferios cerebrales.
- 
La hoz del cerebelo: separa en este órgano a dos mitades o hemisferios cerebelosos.
- 
La tienda del cerebelo: separa el cerebelo del cerebro.
En
algunas regiones del cerebro, entre la duramadre y la aracnoides, se
forma un espacio que denominamos “subdural” y esta lleno con una
capa de líquido denso que actúa como lubricante.
En
el cerebro, debajo de la duramadre se define un canal venoso a lo
largo de la cisura interhemisférica, es el seno venoso o seno
longitudinal superior de la duramadre. 
Ya
hablé en una ocasión de alguna patología urgente que afectaba
a esta estructura anatómica, al
igual que hablé de las hemorragias intracraneales en las que el
contenido hemorrágico se encuentra entre la Aracnoides y el espacio
leptomeningeo . 
Hoy
voy a hablar de la hemorragia intracraneal en la que el contenido
hemorrágico se aloja debajo de la duramadre: lo que los médicos
denominamos Hematoma Subdural.
EL
HEMATOMA SUBDURAL
Este
hematoma suele ser el resultado de un desgarro de las venas que unen
la corteza cerebral y los senos venosos durales y que se sitúan
preferentemente en las zonas frontal y parietal. La mayoría se
extienden entre el lóbulo occipital y el tenmtorio o entre el lóbulo
temporal y la base del cráneo.
Pero
consideramos que el primero de descubrió el Hematoma subdural fue
Johann Jacob Wepfer un patólogo y farmacólogo suizo
originario de Schaffhausen que describió el hallazgo de un “gran
quiste” de sangre bajo la duramadre de un paciente fallecido
después de un "accidente cerebrovascular apopléctico". 
Wepfer
estudió medicina en Estrasburgo, Basilea y Padua. En 1647 regresó a
su Schaffhausen natal para practicar medicina. Fue médico privado y
consultor de varios miembros de la realeza. Es recordado por su
trabajo relacionado con la anatomía vascular del cerebro y el
estudio de la enfermedad cerebrovascular. En 1647 obtuvo la
autorización de practicar autopsias a los pacientes que murieron en
el hospital  local y 11 años después, en 1658, describió que la
causa de la hemorragia cerebral se originaba por un accidente
cerebro-vascular. A partir de estudios postmortem, proporcionó
información sobre las arterias carótidas y vertebrales. En 1658
publicó un clásico tratado sobre los accidentes cerebrovasculares,
titulado Historiae apoplecticorum.  
Wepfer
hizo importantes contribuciones en los campos de farmacología
experimental y toxicología. Advirtió contra el uso médico del
arsénico, antimonio y el mercurio y publicó un trabajo influyente
sobre el agua y la cicuta venenosa llamada Cicutae aquaticae que
contenía los primeros informes de toxicidad de plantas del género
Cicuta. 
Johann
Jacob Wepfer
Murió
a los 75 años (1695) de una insuficiencia cardíaca.  Como
curiosidad hay que mencionar que fue su yerno Brunner, al practicarle
la autopsia encontró entre sus hallazgos la aorta calcificada (cosa
que ya especuló que padecía el propio Dr Wepfer en vida) y por ello
ambos fueron los primeros en describir la arteriosclerosis. Pensaban
además que esta patología era de tipo inflamatorio.
Noventa
años más tarde del hallazgo de Wepfer, Morgagni publica un hallazgo
similar en un paciente fallecido de una “apoplegía”. De
Giambattista Morgagni ya hablé en la
entrada sobre las hemorragias suaracnoideas, por lo que remito a
la misma al que quiera leer algo sobre su biografía.
En 1817, un
cirujano Francés, M.
Houssard describe
la naturaleza de estos “quistes de sangre” subdurales como
coágulos con sus membranas envolventes.(Houssard
M. 1817. Observation d'un kyste considerable, développé dans la
cavité de l'arachnoide chez un sujet qui a succombé avec les
symptomes d'une apoplexie sanguine. La Bibliothèque Médicale 55:
67) y
despierta el interés de Bayle que en 1826 caracterizó la
fisiopatología del sangrado recurrente y crónico.
Posteriormente
en 1875  Rudolf Virchow introduce el concepto de
"paquimeningitis hemorrágica interna" y además detalló
como la inflamación crónica de la microvasculatura hiperémica de
la duramadre inducía una ruptura de los vasos y así una
infiltración de fibrinógeno para formar el coagulo resultante
Rudolf
Ludwig Karl Virchow nació el 13 de
octubre de 1821 en Schivelbein,
Pomerania. En 1839 marchó a Berlín a estudiar medicina. Tuvo como
maestros a Johannes Müller (que
fue quien dirigió su tesis doctoral en 1843)
y Schönlein. Los
primeros estudios de Virchow giraron en torno a la inflamación de
las venas. Llegó a demostrar que la embolia y la trombosis
(conceptos suyos) son casi siempre anteriores a la flebitis
propiamente dicha. Describió
por primera vez la leucemia e
introdujo el término de
leucocitosis. 
En
1848 formó parte de la comisión encargada de estudiar la epidemia
de tifus que se produjo en Silesia el año anterior, y
cuando volvió a Berlín tomó
parte activa en el movimiento revolucionario junto con otros médicos
berlineses partidarios del liberalismo radical. 
Rudolf
Virchow
Con
la restauración del
absolutismo se
marchó a Würburg para
volver a Berlín en 1856 y
pronunciar
una serie de conferencias que después se publicaron en forma de
libro con el título Die Cellularpathologie in ihrer Begründung auf
physiologische und pathologische Gewebelehre (1858). En esta obra
Virchow defendió
una concepción celular del organismo conforme a la cual la célula
es también la unidad elemental desde el punto de vista fisiológico
y patológico. 
Virchow,
además de combatir el humoralismo y contribuir a la teoría celular
y el desarrollo de la histopatología, también dedicó su atención
al fenómeno de la inflamación, al estudio de muchas patología
médicas como la tuberculosis, la patología del tejido conjuntivo,
las neoplasias, etc y y es el padre de muchos conceptos utilizados en
la actual anatomía patológica. Falleció el 5 de septiembre de 1902
en Berlín
Los
estudiantes de medicina le recuerdan siempre por un ganglio que lleva
su nombre, el Ganglio de Virchow, que es un ganglio linfático
centinela palpable en la región supraclavicular derecha debido a
metástasis de un cáncer de estómago y que no era raro que cayese
en los exámenes como pregunta o incluso en el mismo examen MIR
cuando yo era estudiante de medicina.
Pero
al hematoma subdural se le conoce con este nombre a raíz de la
publicación de 55 casos por los doctores Putnam y Cushing en
1925. 
Tracy
Jackson  Putnam nació en Boston en 1894. Se graduó en
Harvard College en 1915 y en Harvard Medical School en 1920. 
Tracy
Jackson  Putnam
Hizo
sus prácticas de cirugía general en el Hospital General de
Massachusetts y de neurocirugía en el Hospital Peter Bent Brigham
donde junto con Harvey Cushing describió el hematoma subdural
crónico que no era bien reconocido como tal en ese momento. 
Fue
director de la Unidad de
Neurología en el Hospital de la Ciudad de Boston en 1934 y
Profesor de Neurología en Harvard. Durante sus años de
investigación en Harvard, desarrolló nuevos campos de estudio y
abordajes quirúrgicos para los trastornos neurológicos, desarrolló
ideas novedosas sobre el hematoma subdural, la hidrocefalia, los
trastornos motores y la epilepsia. 
En
la década de 1930 hace una
investigación pionera sobre la esclerosis múltiple, siendo uno de
los primeros en sugerir una causa vascular de la enfermedad. En
1938 descubre junto a H.
Houston Merritt la
difenilhidantoína como antiepileptico.
Fue
nombrado profesor de neurología, profesor de cirugía neurológica y
director del Instituto de neurología de Nueva York en 1939. antes
del inicio de la Segunda Guerra Mundial. Se
mudó a California en junio de 1946 para convertirse en Director de
Neurología en el Hospital Cedars of Lebanon. Murió
el 29 de marzo de 1975
Harvey
Williams Cushing nació en
Cleveland, Ohio el 8 de abril de 1869 y es reconocido como
instaurador de la neurocirugía como técnica quirúrgica, que
desarrolló desde su base y por la  descrpción del síndrome
endocríno que ahora lleva su nombre en 1932. Realizó interesantes
aportaciones en la descripción de los sistemas de coordinación
orgánica, fisiología renal,  y la hipófisis y en 1926 recibió el
premio Pulitzer por su biografía de William Osler, de quien fue
discípulo y amigo.
Harvey Williams Cushing
Dicho
esto, pasemos a la clínica y diagnóstico del hematoma subdural.
En
1960 Mckissock clasifico los hematomas subdurales de forma
arbitraria en agudos cuando se presentaban hasta el tercer día
después de un trauma, subagudos si se presentaban entre el 3º y 20º
días posteriores al trauma y crónicos cuando tenían mas de 20 días
(Mckissolk W. RochardsonA,Bloom
W. Subdural hematoma.Subdural hematoma.A revlew of 389 cases. Lancet
1960; 1 1365-9).
Wylie
McKissock nació el 27 de octubre de 1906 en Staines, Surrey. Fue a
la Escuela de la Ciudad de Londres y estudió medicina en el King's
College London y en el St George's Hospital Medical School en Londres
acabando en 1930. Comenzó su
carrera cooneurocirujano en el St George's Hospital, Maida Vale
Hospital for Nervous Diseases y también trabajó en el Great Ormond
Street Hospital. En 1936,
McKissock visitó Estocolmo para estudiar el trabajo del
neurocirujano sueco Herbert Olivecrona y luego pasó un año
(1937-1938) en los Estados Unidos y Canadá gracias
a una beca de la Fundación
Rockefeller.
En
1939, al estallar la Segunda Guerra Mundial, McKissock intentó
unirse al ejército como neurocirujano y, en cambio se le destinó a
la unidad de neurocirugía  del Hospital Leavesden que hubo de ser
trasladada al hospital Atkinson Morley, Wimbledon, Londres y evacuada
durante un tiempo a Bath, Somerset. 
Trabajó como neurocirujano en muchos y variados hospitales
británicos  durante su vida al igual que lo hizo en muchísimos
cerebros durante la
segunda guerra mundial, pero lo que le hizo pasar a la historia fue
la ingente cantidad de lobotomias que realizó por todo el país y la
velocidad a la que las hacía. Por aquel entonces las lobotomias se
hacian mediante la llamada  leucotomía estándar de Freeman-Watts,
que en palabras del propio cirujano “…no es una operación que
requiera mucho tiempo. Un equipo competente en un hospital
psiquiátrico bien organizado puede realizar cuatro operaciones de
este tipo en 2-2½ horas. La leucotomía prefrontal bilateral puede
ser realizada por un neurocirujano debidamente capacitado en seis
minutos y arro será que precise mas de diez. " 
En
1948, en un intento por reducir los riesgos y los efectos dañinos de
la leucotomía, desarrolló una técnica propia, la leucotomía
rostral, donde los lóbulos frontales se acercaban desde la parte
superior de la cabeza. 
Sir
Wylie McKissock
A
fines de la década de 1950 había realizado cerca de 3,000
leucotomías. En 1966 se
convirtió en presidente de la Society of British Neurological
Surgeons y en 1971 la reina de
inglaterra le nombró Sir y
se fue a vivir a Escocia. Murió el tres de mayo de 1994 tras unos
años de viudedad.
Aún
hoy seguimos utilizando su clasificación de los hematomas
subdurales.
Los
hematomas agudos suelen presentarse clinicamente como cuadros de
cefalea progresiva, nauseas, vómitos o incluso crisis comiciales en
pacientes que han tenido un traumatismo craneoencefálico (TCE),
muchas veces con perdida de conocimiento y posteriormente a éste un
periodo lúcido mas o menos largo. 
Cuando
el hematoma es de evolución subaguda el paciente suele presentarse
con un periodo de disminución de nivel de conciencia y
desorientación mas o menos largo y larvado.
Pero
es en los casos de hematoma subdural crónico, (que pueden ser la
evolución clínica a lo largo del tiempo de un pequeño subdural
agudo que ha pasado desapercibido), cuando mas importante es la
clarividencia diagnóstica del médico, pues estos casos suelen
presentarse con cuadros de alteración del comportamiento y de la
personalidad, cefalea mas o menos larvada y bradipsiquia (pensamiento
enlentecido) e incluso sintomatologia focal neurológica, hemiparesia
o afasia e incluso convulsiones simulando cuadros de  ictus isquemico
o tumor cerebral.
El
hematoma subdural se presenta con frecuencia de esta forma en los
pacientes que tienen atrofia cerebral por algún motivo, siendo uno
de los mas frecuentes en envejecimiento natural y la enfermedad de
Alzheimer, aunque hay otros como el alcoholismo (que se ve además
potenciado por la afectación hepática y de la coagulación
sanguínea). Si además tenemos en cuenta que los alcohólicos son
mas frecuentes a las caídas y golpes en el cráneo por reyertas y
que en la mitad de los casos de hematoma subdural agudo hay un
antecedentes de traumatismo de cráneo relativamente olvidado, nos
daremos cuenta inmediatamente de como se juntan varias cosas en estos
enfermos que nos hacen temer a los médicos de urgencias con
frecuencia la presencia de un hematoma subdural. Los médicos de
urgencias experimentados y añosos tenemos además siempre en mente
que el hematoma subdural puede imitar clinicamente a un exceso de
alcohol y por eso nos fastidia tanto tener que atender al mismo
paciente alcohólico un día tras otro, traído al servicio de
urgencias por cuadros de intoxicación etílica aguda, sabiendo lo
facilísimo que puede ser que nos columpiemos en el diagnóstico.
Pero claro ¡no vas a estar haciendo un TAC cerebral un día tras
otro al mismo borracho! Así que encima de aguantar a un paciente
intoxicado que ya estas cansado de ver, que se hace pesado y suele
ser grosero y/o violento, además tienes que estar muy alerta en la
exploración clínica del mismo y ser agudo en las apreciaciones de
la evolución del paciente respecto a atenciones anteriores.
Pero
ojo, hoy en día cada vez es más frecuente ver este problema en
pacientes de edad que están a tratamiento con antiagregantes
plaquetarios, como la aspirina, o anticoagulantes, como el Sintron.
Una caída sin lesiones en la cabeza puede ser responsable de hasta
un 33-54% de los casos de hematoma subdural. Estos pacientes también
los consideramos bastante traidores los urgenciologos experimentados
porque sabemos que  los cambios de comportamiento o de la
personalidad que puede ser confundidos facilemente con un trastorno
psiquiátrico o una demencia son frecuentes síntomas de un hematoma
subdural. Incluso el delirio o un cuadro confusiónal agudo es  algo
típico del hematoma subdural (52% de 56 pacientes con edad > 60
años con hematoma subdural) y puede ser falsamente atribuido a otras
causas más comunes del delirio como infecciones o medicamentos. Con
lo cual estos son otros pacientes con los que uno fácilmente se
columpia en el diagnóstico. En muchos de estos casos no es raro
encontrarse asociados focos de contusión hemorrágica cortical
cerebral y clínica de hipertensión intracraneal. Así que ya sabéis
ante un anciano con demencia rápida, cefalea crónica e
incontinencia urinaria  hay que pensar rápidamente en el hematoma
subdural. 
El
diagnóstico de imagen de un hematoma subdural se hace mediante una
tomografía computarizada craneal sin contraste (TAC craneal sin
CIV).
Lo
primero a tener en cuenta y explicado con lenguaje de andar por casa
es que cuanto mas reciente es la sangre en el TAC la vemos mas
hiperdensea (es decir, mas blanca) para pasado el tiempo hacerse
isodensa y mas tarde hipodensa (es decir, negra). La densidad
respecto a la que se compara es por supuesto la del cerebro.
En
los casos de HSD agudo lo que vemos es una imagen hiperdensa de forma
semilunar entre el cráneo y el córtex cerebral que suele extenderse
mas allá de las líneas de las suturas. 
En
los casos de HSD subagudo lo que nos muestra el TAC es  una imagen de
las mismas características en cuanto a forma pero en este caso
hipodensa o isodensa. 
En
los casos de HSD crónica vemos una imagen iso o hipodensa pero en
este caso tiene forma de semiluna con concavidad interna. Además en
estos casos crónicos puede haber un resangrado (cosa que ocurre
hasta en un 45% de los casos) pudiéndose ver áreas hiperdensas
correspondiendo al sangrado reciente.
La
desviación de la línea media cerebral pueden ayudarnos a detectar
la presencia de un hematoma subdural unilateral en la fase isodensa,
pero en los hematomas subdurales crónicos bilaterales (16-20% de los
casos) hay que tener mucho ojo porque puede no ser evidente y habrá
que fijarse bien en características radiológicas más sutiles, como
son el borrado de los surcos cerebrales.
Una
vez explicada la clínica y la expresión radiológica en un TAC
cerebral del hematoma subdural ha llegado el momento de que hable de
un caso que atendí hace un par de días en una guardia.
Se
trata de una venerable anciana de 91 años de edad diagnosticada a
mediados del 2018 por el neurólogo de una demencia degenerativa
primaria en probable relación con E. Alzheimer debido a un cuadro de
deterioro cognitivo de unos dos años de evolución y con la ultima
valoración neurológica el día antes de atenderla yo en el servicio
de urgencias en el que trabajo. Neurológia la seguí ya de antes
como paciente por un Síndrome rígido-acinético. Entre sus
antecedentes médicos destacaban la Hipertensión arterial, Bocio
multinodular, Osteoporosis y Osteoartrosis con aplastamientos de
algunos cuerpos vertebrales y listesis L4-L5.  Insuficiencia venosa e
Incontinencia urinaria. En el 2016 tuvo un ingreso por un cuadro de
desorientación y alucinaciones visuales debido al uso  de
Paracetamol/Oxicodona, una celulitis en las piernas y una infección
urinaria con IRA en probable relación con AINES. Hacia tres meses
que había sido atendida en nuestro propio servicio por una Lumbalgia
e insomnio en relación con su demencia. Tenía además como
antecedentes quirúrgicos una cirugía de reparación de prolapso
vesical y una prótesis de cadera derecha hacía 4 años. No estaba
anticoagulada ni antiagregada.
Los
familiares de la paciente la traían al servicio de urgencias por
deterioro cognitivo y una leve disminución del nivel de conciencia
con tendencia al encamamiento desde la tarde del día anterior. No se
termometró fiebre y no existía el antecedente de traumatismo ni
cuadro catarral o gripal previos.
La
paciente se encontraba orientada en persona y estuporosa, con un
Glagow de 11 (localiza al dolor, responde con coherencia en ocasiones
y abre los ojos al dolor) No obedecía ordenes y manifestaba una
marcada ecolalia aunque respondía algunas preguntas con coherencia y
monosílabas. No se apreciaban focalidades neurológicas groseras.
Reflejo glabelar +, reflejo de chupeteo +, reflejo palmomentoniano +,
Babinsky + No había pupilares. Del resto de la exploración física
no destacaba nada de mucho interés.
La
glucemia capilar era de 248 mg/dl y en los análisis de sangre y
orina solo destacaba una leucocitosis de 14.33 10^9/L sin desviación
izquierda y una  leucocituria de +++ con una función renal con  Urea
 55 mg/dL y Creatinina  1.09 mg/dL. La Proteína C Reactiva  era de
40.1 mg/L . La hemostasia y el resto del hemograma eran completamente
normales.
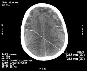
Con
la sospecha clínica de una posible hematoma intracraneal se realizó
de forma urgente un  TAC cerebral sin CIV que mostró lo siguiente:
Extensas
colecciones extraaxiales bilaterales en la convexidad
frontoparietotemporal, de aprox 2,8 cm de espesor máximo, con áreas
hipodensas e  hiperdensas formando nivel. Efecto masa con borramiento
de surcos de la convexidad y colapso parcial del sistema ventricular
supratentorial. Línea media centrada.
¡Todo
ello compatible con el diagnóstico de hematomas subdurales crónicos
con componente agudo!
|  |  | 
Llegó
la hora de hablar del tratamiento del hematoma subdural
Como
ya intuímos casi seguro desde el comienzo, el tratamiento del
hematoma subdural es fundamentalmente quirúrgico y para ello se
deberá abrir el cráneo, es decir, hacer una craniectomía, o abrir
un orificio en éste, es decir, hacer una trepanación (craneotomía).
Es
curioso como la existencia de estos hematomas ya se debía de intuír
en el neolítico. Esto se sabe por restos arqueológicos datados en
esas fechas que muestran como se realizaba con éxito la trefinación,
sobreviviendo a la intervención un 30% de los sujetos, lo que no
deja de ser algo sorprendente. La evidencia más temprana de la
trepanación data de hace aproximadamente 7.000 años cosa que nos es
conocida por la antigüedad de un cráneo perforado hallado hace dos
décadas en Alsacia, una región francesa lindante con Alemania.
Cráneo
de mujer joven trepanado con sílex, Neolítico (3500 a. C.); la
cicatrización de los huesos indica que la paciente sobrevivió a la
operación. Imagen tomada de la Wikipedia
Más
allá del Neolítico las trepanaciones son más raras, aunque se
encuentran aún entre los galos, los francos y los merovingios así
como en el siglo V en la Alemania central. Hipócrates ya recomendaba
la trefinación para los pacientes con fracturas o fisuradas
craneales e incluso contusiónes óseas craneales sin fractura
sociada y describió la técnica de la trefinación con mucho
cuidado, pero Hipocrates no usaba la trepanación para tratar el
hematoma subdural crónico, sino lesiones, tumores o hidrocefalia.
También sabemos que durante el imperio romano solo sobrevivía a la
trepanación un 1 % de los pacientes así que lo mejor es que no te
la propusieran como tratamiento de nada. 
Sin
embargo, los que fueron unos expertos trepanadores de cráneos
humanos y seguro que en ocasiones para aliviar hematomas subdurales
traumaticos, fueron los incas del Perú. 
Según
un estudio de
David Kushner, neurólogo de
la Universidad de Miami (Florida) y John Verano, un bioarqueólogo de
la Universidad de Tulane en Nueva Orleans (Louisiana), publicado
recientemente por la revista Science, los
Incas conseguían supervivencias hasta del
80-90
%. En este estudio se
valoraron 59 cráneos de la
costa sur de Perú fechados entre los años 400 y 200 antes de
Cristo, 421 de las tierras altas centrales del Perú que datan del
1000 hasta el 1400 de la era actual y 160 que fueron conseguidos
alrededor de Cusco, que datan de su época como capital del Imperio
inca, entre 1400 y 1500.
La
primera descripción de una craniectomía para
tratar un hematoma subdural la publicó
James Hill en 1751. que
describió la lesión y el
tratamiento de una chica que
se había caído de un
caballo. Los primeros días la
paciente solo se quejó de
amnesia, pero en las semanas siguientes
desarrolló
cefalea, náuseas y
vómitos. Tras 5 semanas de
sufrimiento el Dr
Hill abrió el cráneo
viendo que drenaba sangre
oscura que salía de debajo de la duramadre. La chica se recuperó
tras la cirugía. (Hill
J, Balfour J. Cases in surgery, particularly, of cancers, and
disorders of the head from external violence with observations : to
witch is added an account of the Sibbens. Edinburgh: Printed for John
Balfour; 1772)
Muchos
autores consideran sin embargo que el primer tratamiento quirurgico
de un hematoma subdural con éxito publicado en la literatura médica
es el del Dr. Hulke, del Middlesex, Hospital de
Londrés, en el año 1881. (MIDDLESEX
HOSPITAL.: SEVERE BLOW ON THE RIGHT TEMPLE, FOLLOWED BY RIGHT
HEMIPLEGIA AND COMA, AND THEN BY SPASTIC RIGIDITY OF THE LEFT ARM;
TREPHINING; EVACUATION OF INFLAMMATORY FLUID BY INCISION THROUGH DURA
MATER; QUICK DISAPPEARANCE OF CEREBRAL SYMPTOM. Lancet. 1883 Nov
10;122(3141):814–5.) El 21 de octubre de 1881 Hulke recibió
a un paciente de 60 años que había sufrido un TCE hacía 14 días y
presentaba un cuadro de hemiparesia, coma, monoespasticidad rígida y
sangrado en la sien derecha. El 7 de Noviembre, después de una
complicada evolución clínica, el Dr. Hulke se dio cuenta de como en
la sien derecha el hematoma empujaba el cráneo lo suficiente como
para realizar una pequeña trepanación. Exploró la lesión y
apreció el sangrado de una pequeña arteria meníngea que fijó a
presión para proceder a aspirar el contenido del hematoma. Hulke
ignoró el dogma de “no abrir la dura” y malinterpreto el
aspirado como “fluido inflamatorio”, sin embargo, logró la
mejoría del paciente y abrió las puertas a una nueva era en la
cirugía neurológica.
John
Whitaker Hulke fue un paleontologo e importante cirujano británico
que nació en Kent un 6 de Noviembre de 1830. En 1849 ingresa en el
departamento médico del King's College de Londres para estudiar
medicina. En marzo de 1855 fue a la guerra de crimea y a la vuelta en
1857 fue elegido cirujano asistente del King's College Hospital
durante un período de cinco años, donde
empieza
a interesarse por la oftalmología.
En
1856 consigue el puesto de asistente Clínico en el Royal London
Ophthalmic Hospital, para posteriormente ser nombrado Cirujano en
1868 y Cirujano Consultor en 1890. Además en 1862 fue elegido
Cirujano Asistente del Hospital Middlesex y Cirujano en 1870, una
posición que conservó hasta su muerte.  Fuera del campo de la
cirugía entre sus méritos destacan el haber sido elegido miembro de
la Royal Society en 1867, por investigaciones relacionadas con la
anatomía y fisiología de la retina en el hombre y los animales
inferiores, en particular los reptiles, formar parte del Consejo de
la Royal Society en los periodos entre 1879-1880 y nuevamente en
1888-1889, haber sido miembro de la Sociedad Geológica en 1868, y
Presidente de la misma entre 1882-1884, y haber recibido la Medalla
Wollaston en 1887. 
John
Whitaker Hulke
Podéis
encontrar algo de su biografía en la
wikipedia en inglés
En
1914 Trotter publica 4 casos de hematomas subdurales crónicos
operados y asegura no haber encontrado proceso inflamatorio en
ninguno de ellos y además refiere como la entidad clínica se
acompaña de edema de papila. Indica la cirugía en los pacientes en
los que se sospeche el hematoma. Estaba convencido de que una lesión
craneal trivial podía romper una vena, especialmente puentes que
drenan al seno sagital, que sería la causa de una hemorragia
subdural que podía después volverse una lesión crónica. Sugirió
el nuevo término de hematoma subdural crónico.
Wilfred
Louis Batten Trotter nació el día 3 de noviembre de 1872 en
Coleford, Inglaterra.Fue a estudiar a Londres en 1891 donde obtuvo el
grado de bachiller en medicina y también en ciencias. Después se
formó como cirujano y fue demostrador anatómico hasta el año 1906,
cuando ingresó en la plantilla del University College Hospital.
Trotter fue uno de los pioneros en aplicar la tiroidectomía en los
enfermos de Graves. También realizó intervenciones en afectados por
tumores cerebrales y del cuello. Ideó nuevas vías para acceder a la
faringe y poder operar cánceres  dio nombre a un síndrome
caracterizado por dolor en la mandíbula y lengua, con cefalea del
lado afectado, sordera unilateral, desviación del paladar, movilidad
defectuosa de los músculos palatino y pterigoideo interno, y
adenopatía cervical, producido por una neoplasia.
en
1924 fue el primero en indicar de forma planificada un tratamiento
quirúrgico para un aneurisma intracraneal mediante una ligadura de
la arteria carótida (“Traumatic aneurysm of the intracranial
portion of the internal carotid artery”, publicado con James Birley
en Brain (1928). Con el tiempo se convirtió en uno de los primeros
especialistas en cánceres del tracto respiratorio superior. En 1935
ocupó la cátedra de cirugía del University College Hospital, pero
sólo estuvo cuatro años, ya que falleció el 25 de noviembre de
1939.en Blackmoor, Inglaterra.
Wilfred Louis Batten Trotter
Practicó
una resección de una costilla al rey George V para tratarle un
empiema pulmonar mal curado y lo sanó.
Desde
la época de Trotter se han ideado muchas técnicas quirúrgicas para
tratar los hematomas subdurales:
- 
trepanación simple o trefinación con drenaje del hematoma
- 
dobles o múltiples trepanaciones con drenajes externos ya sean estos abiertos o cerrados con sistemas de presión negativos
- 
craneotomías de diferente tamaño con resección de las membranas neoformadas.
En
la actualidad ya se hacen incluso refinadas trepanaciones con
desbridamiento a través de neuroendoscopios.
Los
 hematomas  subdurales  agudos  se drenan cuando producen 
desplazamiento  de  las  estructuras  de  la línea  media  de cinco 
milímetros o  más mediante craneotomía extensa fronto – parieto
– temporo - occipital o trauma flap y en adultos mayores mediante
craneotomía limitada, que es una adecuación de la técnica anterior
en la que la craneotomía  se localizará en el  centro de la 
proyección de la  lesión  ocupante de espacio, sin abarcar toda su
extensión. Se limita el tamaño del flap óseo superior y se
mantiene la craniectomía descompresiva lo más próximo posible a la
base frontal y  temporal.
Los
hematomas subdurales crónicos se drenan cuando son mayores de un
centímetro de profundidad o producen sintomatologia neurológica.
De
momento parece haber consenso en que la técnica de elección es la
trepanación única con o sin drenaje y que las craneotomías deben
reservarse como segunda opción sobre todo para cuando:
1)
el hematóma es sólido y no se puede drenar con irrigación
2)
hay múltiples membranas engrosadas con múltiples cavitaciones
3)
cuando hay recidivas permanentes del hematoma tratado con
trepanaciones o craneotomías pequeñas.
Las
complicaciones e esta
intervencion, además de las generales (úlcera gástrica de estrés,
enfermedad tromboembolica venosa, fracaso respiratorio agudo,
neumonía, infección urinaria, infección hospitalaria) y las
derivadas de una monitorización invasiva si la hubo son las
de la cirugía craneal supratentorial:
- 
Infecciones
- 
Mortalidad operatoria (0,5%)
- 
Crisis epilépticas postquirúrgicas (1-2%)
- 
Déficit neurológico (muy variable en función de la localización del hematoma)
 a.
Hemiparesia
 b.
Alteración del campo visual
 c.
Trastorno del lenguaje
 d.
Déficit sensitivo
- 
Hemorragia intracerebral postquirúrgica (0,1-1%): subdural; epidural; intraparenquimatosa.
- 
Resangrado
A
continuación os muestro una imagen radiológica del cráneo de un
paciente anciano que no tomaba antiagregantes ni anticoagulantes y
que debutó con un hematoma subdural crónico bilateral que fue
inicialmente drenado mediante dos orifico de trepano y que
posteriormente resangro y fue sometido a craniectomia, para que os
hagáis una idea de como queda la cosa después de la intervención
quirúrgica.
Orificio
de trepano
Craniéctomia
con reposición del hueso craneal
Pero
¿que hacemos ante un caso que no requiere las condiciones para
tratamiento quirúrgico?
Para
estos casos no nos queda mas que la vigilancia estrecha del paciente
y de la evolución del hematoma subdural y el intento de tratamiento
medicamentoso. Se utiliza Dexametasona, Atorvastatina, Acido
traxenámico e inhibidores del enzima de conversión de la
angiotensina.
El
que quiera saber el porque del uso de estos fármacos y por donde van
las líneas de investigación actual, tiene un buen artículo para
leer, publicado en World Neurosurg. (2018). Pathophysiology
and Nonsurgical Treatment of Chronic Subdural Hematoma: From Pastto
Present to Future












