El
corazón humano es un músculo o “morcillo” como decían los
antiguos anatomistas Españoles, cuya principal función es la de
bomba de emisión de sangre. Formando parte de su estructura tiene
cuatro cavidades o cámaras (dos superiores denominadas aurículas y
dos inferiores denominadas ventrículos) y cuatro válvulas que
podemos clasificar de la siguiente forma:
- 
Valvulas atrioventriculares: son la Válvula bicúspide o mitral que impide que la sangre retorne del ventrículo izquierdo a la aurícula izquierda y la Válvula tricúspide que impide que la sangre retorne del ventrículo derecho a la aurícula derecha. La bicúspide tiene dos valvas y forma de Mitra (de ahí su nombre) y la tricúspide, tres.
- 
Válvulas semilunares: son la Válvula pulmonar que impide que la sangre retorne del conducto pulmonar al ventrículo derecho y la Válvula sigmoidea o aórtica que impide que la sangre retorne desde la aorta al ventrículo izquierdo. La válvula aórtica está formada por tres membranas, dos anteriores y una posterior, con una forma parecida a un nido de golondrina.
Hasta
aquí lo que todos debíamos conocer por obligación tras nuestros
estudios elementales.
Llegado
a este punto hago parada para coger aire porque de lo que voy a
hablar hoy un poco es de una enfermedad de esta última válvula, en
concreto de lo que llamamos estenosis aórtica y todo porque hice una
radiografía de tórax a un paciente con clínica de insuficiencia
cardiaca recientemente operado de una válvula aórtica estenótica y
me encontré con algo para mi desconocido hasta el día de hoy.
Lo
primero que quiero decir es que la
RAE define estenosis como palabra derivada del latín científico
stenosis, y este del griego στένωσις 
que literalmente significa estrechamiento. Por
lo tanto, en Medicina entendemos como estenosis aórtica aquella
condición o enfermedad que produce un estrechamiento del orificio
valvular aórtico. 
Lo
que ocurre en esta enfermedad
es que la válvula aórtica
no se abre bien y el flujo
sanguíneo desde el ventrículo izquierdo a la aorta se ve
disminuido, lo que trae sus
consecuencias. Esta es la
enfermedad valvular cardiaca más frecuente, afectando al 2% de la
población mayor de 65 años y al 3% de los mayores de 75. La enfermedad se desarrolla
gradualmente durante décadas a lo largo de la vida. Inicialmente, el
ventrículo izquierdo se hipertrofia para mantener la cantidad de
sangre que el corazón expulsa por la aorta con cada latido cardiaco
(es decir para mantener lo que los médicos llamamos un volumen
sistólico normal) y el paciente permanece asintomático. A medida
que la enfermedad y la estenosis valvular progresan, el engrosamiento
de la pared es insuficiente para compensar el aumento de presión o
incluso directamente contraproducente y acaba por generar estrés
sobre la pared ventricular, lo que lleva a una disfunción de la
contracción del musculo ventricular (lo que llamamos disfunción
lusotrópica) y a la consiguiente reducción del flujo sanguíneo
coronario y sistémico. Como consecuencia de esto aparece la clínica
típica de angina de pecho, síncope y disnea de esfuerzo progresiva.
Con el tiempo se desarrollará hipertensión pulmonar e insuficiencia
cardíaca.Para valorar la
gravedad de estos síntomas utilizamos la Clasificación
de la New York Heart Association (NYHA)
Los
pacientes asintomáticos presentan una mortalidad baja y similar a la
población general. Pero la supervivencia media tras el diagnóstico
clínico del paciente sintomático es de 2-3 años. La muerte súbita
es la forma más frecuente de éxitus.
La
Sociedad Europea de Cardiología (ESC) y la American College of
Cardiology/American Heart Association (ACC/AHA) clasifican la
estenosis aórtica en función de la historia clínica y los
resultados de la ecografía cardiaca (mediciones del área valvular
aórtica en combinación con el gradiente medio de presión y
velocidad máxima transvalvular) 
La
EA con un área valvular aórtica  < 0,8 cm² es crítica.
Estadísticamente hablando, uno de cada 8 pacientes que vemos con estenosis valvular aórtica tiene una afectación moderada o grave.
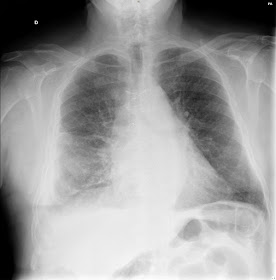
Recientemente se ha señalado la posibilidad de que exista una forma grave en pacientes con un área valvular aórtica < 1 cm2 denominada EA paradójica de flujo y gradientes bajos (volumen de eyección indexado < 35 ml/m2 y gradiente medio < 40 mmHg respectivamente) con Fracción de eyección del ventrículo izquierdo (FEVI) preservada, cuya valoración requiere mayores pruebas diagnósticas complementarias, como son la ecocardiografía de estrés con dosis bajas de dobutamina, la tomografía computarizada multicorte (TCMC), la ecocardiografía transesofágica, la angiografía por radionucleótidos o la resonancia magnética nuclear (RMN).La radiografía de mi paciente con insuficiencia cardiaca era la siguiente:
Estadísticamente hablando, uno de cada 8 pacientes que vemos con estenosis valvular aórtica tiene una afectación moderada o grave.
Recientemente se ha señalado la posibilidad de que exista una forma grave en pacientes con un área valvular aórtica < 1 cm2 denominada EA paradójica de flujo y gradientes bajos (volumen de eyección indexado < 35 ml/m2 y gradiente medio < 40 mmHg respectivamente) con Fracción de eyección del ventrículo izquierdo (FEVI) preservada, cuya valoración requiere mayores pruebas diagnósticas complementarias, como son la ecocardiografía de estrés con dosis bajas de dobutamina, la tomografía computarizada multicorte (TCMC), la ecocardiografía transesofágica, la angiografía por radionucleótidos o la resonancia magnética nuclear (RMN).La radiografía de mi paciente con insuficiencia cardiaca era la siguiente:

Además
de los datos de insuficiencia cardiaca, podía ver, sobre todo en la
placa lateral del tórax, una imagen de un objeto metálico situado
donde anatómicamente le corresponde estar a la válvula aórtica y
que no era ninguna de las prótesis metálicas que conozco desde que
estudié medicina, hace ya años.
Veamos
a que demonios puede corresponder esto, pero para ello debo hablar antes un poco del tratamiento quirúrgico de la estenosis aórtica.
El
mejor tratamiento para los pacientes con estenosis aórtica grave
sintomática es la cirugía de la válvula cardiaca, en concreto el
recambio de la misma, es decir, como decía un antiguo cardiólogo y
maestro mio cuando fui residente, hay que coger la válvula enferma y
tirarla al caldero, para poner en su lugar una nueva. Por lo tanto,
para estos pacientes oirás decir al  médico que la cirugía de
reemplazo valvular aórtico es el abordaje de elección.
Actualmente
la mortalidad de esta operación anda entorno a un 1-3% si el
paciente tiene menos de 70 anos y sobre un 4-8% en pacientes
seleccionados, de mas edad, pero en este caso dependiendo mucho de
la experiencia del grupo de cirujanos que intervenga del tipo de
protesis que se coloque, las comorbilidades asociadas, de la
habilidad seleccionando a los pacientes que se interviene, etc.
Existen diversos algoritmos de cálculo, como el EuroSCORE logístico
o el score de la Sociedad Norteamericana de Cirujanos Torácicos
(STS-PROM), que sirven para predecir el riesgo quirúrgico
preoperatorio en función de diferentes variables, porque estas cosas
no se hacen a ojo de buen cubero ni de broma.
Ya
hemos llegado ahora al punto que me interesaba: sabemos en que
consiste una estenosis aórtica grave sintomatica y sabemos que su
tratamiento de elección es la cirugía de recambio valvular, pero
¿qué pasa si el paciente no se puede operar porque tiene mucha edad
o mucho riesgo quirúrgico por su comorbilidad?. Parece que hacer
simple tratamiento sintomático es rendirse y si algo no hacen los
buenos médicos y cirujanos es rendirse sin haber intentado antes
algo. Ese algo en nuestro caso es lo que ahora se llama “implantación
de una válvula aórtica transcateter” (TAVI).
El
concepto de válvulas sin sutura data de 1960 pero los primeros
modelos no fueron adelante por la gran cantidad de fugas
periprotesicas y trombosis de las válvulas. El posterior desarrollo
de las técticas de cateterismo y colocación de implantes
transcateter fue aprovechado por los cirujanos cardiacos que tenían
en mente la protesis valcular cardiaca sin sutura y ha dado sus
frutos en la actualidad con  tres modelos de valvula transcateter que
han sido aprobados para su uso en Europa. Los tres modelos no
constituyen un grupo de diseño homogéneo y su introducción en el
mercado ha sido gradual.
- La válvula ATS 3f Enable® modelo 6000 (ATS Medical, ahora Medtronic, Inc., Minneapolis, Estados Unidos) nació a partir de la 3f Aortic Bioprosthesis, de origen biológico de pericardio bovino sin soporte (stentless) a la que se añadió un stent de nitinol autoexpandible con un reborde de poliéster para prevenir fugas paravalvulares. Fue implantada por primera vez en enero del 2005. Actualmente está disponible en varios tamaños (19-29 mm).
- El sistema valvular INTUITY™ (Edwards Lifesciences, Irvine, California, USA), derivado de la tecnología de la válvula pericárdica de Carpentier-Edwards Perimount, y que contiene un soporte innovador con un balón expandible, diseñado para facilitar la colocación rápida y segura del ánulo. Se autorizó en Europa en febrero 2012.
- La válvula Perceval S™ (grupo Sorin, Arvada, Estados Unidos) es una prótesis de pericardio bovino montada en un stent de nitinol autoexpandible. El stent está formado por dos segmentos anulares y un doble sistema de varillas que los conecta, unas rectas donde fija la bioprótesis al pericardio bovino, y otras sinusoidales, diseñadas para dar anclaje a la prótesis. Antes de la implantación, el diámetro de la prótesis se reduce hasta el tamaño adecuado para poder montarla en el soporte. A continuación, se coloca en la válvula y se libera en la raíz aórtica. Se fija al anillo aórtico mediante tres puntos de sutura, que se pasan a través de los bucles laterales, se despliega girando un tornillo de liberación y se expande totalmente mediante un catéter-balón). Se autorizó para comercialización en Europa en el 2010 y en la actualidad existen tres tamaños disponibles: S (small) para anillos aórticos hasta 21 mm, M (medium) hasta 23 mm y L (large) para anillos hasta 25 mm.
Ahora
sí, ya podemos decir que la imagen de la radiografía de mi paciente
correspondía a una de estas nuevas válvulas biológicas sin sutura
que tienen una parte metálica
En concreto, la imagen corresponde a una prótesis Perceval que está compuesta por una válvula de pericardio bovino montada sobre un armazón o stent de nitinol (aleación metálica de niquel y titanio), que es lo que se ve en la radiografia.
El nitinol tiene la propiedad de ser maleable y poder plegarse fácilmente a temperatura fría y recuperar su forma original con el calentamiento, lo que es de gran importancia para la colocación de la prótesis. Veamos como se hace esto:
Primero se hace una incisión quirúrgica por esternotomía media completa o bien por miniesternotomía superior en J por el 4º espacio intercostal. Tras una aortotomía alta a unos 4 cm del plano valvular, se realiza una resección de los velos decalcificando completamente el anillo aóertico. Posteriormente se procede a la medición del tamaño de la prótesis utilizando 4 posibles medidores correspondientes a las tallas (S, M, L o XL). Mientras se realiza la reducción valvular se colocan tres puntos guía de Prolene 0-0-0-0 equidistantes en la parte mas baja de cada comisura, se pasan los puntos guía por los ojales presentes en la prótesis ya montada, implantándola en posición anular con visión directa. Tras la liberación del sistema y despliegue de la valvula, se realiza una valvuloplastia para acabar de expandir completamente el armazón de nitinol (presión de inflado de unas 4 atmósferas) mientras se aplica suero caliente (durante unos 30 segundos). Una vez desplegada la prótesis se retiran las suturas de guía y se procede a cerrar la aortotomía.
Estas
válvulas están aún en proceso de estudio aunque ya se han
implantado bastantes. El problema principal es que se desconoce su
duración y las complicaciones a medio y largo plazo.  Los procedimentos TAVI se asocian a una incidencia no despreciable d accidentes cerebrovasculares (2,5 a 3,5%), fugas perivalvulares residuales, complicaciones vasculares y necesidad de marcapasos definitivo. La ventaja
fundamental de las dos últimas válvulas presentadas es que acortan
los tiempos de intervención, fundamentalmente a expensas de una
mejora en los tiempos de clampaje aórtico durante la intervención,
lo que conlleva mejoras en la morbimortalidad inmediata y hace que
pacientes a los que se desestimaba para cirugía de reemplazo
valvular ahora pueden ser intervenidos de esta manera. 
Según
todos los estudios publicados, las diferentes válvulas sin sutura
muestran un buen funcionamiento a corto plazo, mejorando
significativamente el estado funcional y la calidad de vida de los
pacientes con estenosis aórtica grave sintomática. Las series de
casos sobre válvulas ATS 3f EnableTM ponen de manifiesto la
dificultad técnica del procedimiento, hecho que se refleja en el
elevado número de reemplazos debido a fugas paravalvulares graves y
en que la duración de la intervención es similar a la descrita en
la cirugía convencional. Las series de casos sobre válvulas
Perceval S™ muestran un elevado éxito de implantación y los datos
apuntan a que la duración del clampaje y bypass cardiopulmonar
podría reducirse en 40-45 minutos respecto a la descrita en válvulas
convencionales sin soporte.
Los
datos perioperatorios para los tres modelos de prótesis evaluados
son prometedores (baja tasa de mortalidad y de efectos graves) pero
los trabajos publicados apuntan a que, de forma general, estas
prótesis podrían presentar más fugas paravalvulares graves y una
mayor tasa de reintervenciones que las descritas en las válvulas
aórticas convencionales, pero inferiores a las prótesis
transcatéter. Algunas series de casos presentan una elevada
frecuencia de arritmias y bloqueo cardíaco que necesita de
marcapasos permanente. Existen dudas respecto al riesgo de fallo
estructural a largo plazo. 
Los
estudios disponibles no permiten aclarar qué subgrupos de pacientes
podrían beneficiarse de las prótesis valvulares aórticas sin
sutura. En un plano teórico están concebidas para pacientes de alto
riesgo quirúrgico que, por cuestiones de edad, lesiones
cardiovasculares asociadas, estrechez del tracto de salida y anillo
aórtico u otros factores, podrían beneficiarse de una duración
menor del clampaje o bypass cardiopulmonar.
Dado
que no existen ensayos clínicos con grupo control no se pueden
conocer los verdaderos beneficios y riesgos de las válvulas aórticas
sin sutura respecto a las válvulas convencionales.
Por
esta razón, la ESC/EACTS recomienda su indicación únicamente en
pacientes con EA sintomática grave (EuroSCORE logístico > 20% o
STS-PROM < 10%) que, en opinión del equipo cardiológico, no son
candidatos a RVA, tienen probabilidades de mejorar su calidad de vida
y una esperanza de vida > 1 año tras la evaluación de las
comorbilidades, o bien contraindicación a la cirugía habitual de
remplazo valvular.
Y
¿que pasa hoy en día con la valvuloplastia con balón? Pues qe hoy
en día se puede considerar este procedimiento como un simple puente
a la cirugía o TAVI en pacientes hemodinámicamente inestables con
alto riesgo quirúrgico o con estenosis aórtica severa sintomática
que precisan cirugía mayor urgente no cardíaca. Ocasionalmente, la
valvuloplastia puede considerarse tambiérn una medida paliativa en
estenosis aórtica sintomática grave cuando el riesgo quirúrgico es
tan alto que no pueden ser candidatos a cirugía convencional y la
TAVI no sea pueda realizar.
¡Como
han cambiado algunas cosas desde el primer día que las estudie! 




