Como muchas otras cosas, el peso de los pulmones depende del sexo y de si el pulmón es de derechas o de izquierdas.  :-)
Dicho de otra manera, el pulmón derecho pesa en promedio 600 gramos y el izquierdo alcanza en promedio 500 g. siendo estas cifras un poco inferiores en el caso de la mujer debido al menor tamaño de la caja  torácica. Los médicos consideramos a los pulmones divididos en una serie de "partes anatómicas" que denominamos lóbulos y éstos a su vez en segmentos. 
El pulmón derecho está dividido en tres lóbulos (superior, medio e inferior) mediante unas estructuras que denominamos cisuras ( la cisura horizontal y la cisura oblicua). 
La cisura en realidad es un repliegue de la pleura visceral que se introduce entre estas divisiones anatómicas pulmonares. Si hacemos recuerdo anatómico, la pleura es una membrana serosa de origen mesodérmico (tejido conjuntivo) que recubre ambos pulmones, el mediastino, el diafragma y la parte interna de la caja torácica. La pleura parietal es la parte externa, en contacto con la caja torácica, el mediastino y la cara superior del diafragma mientras que la pleura visceral es la parte interna, en contacto con los pulmones.
La cavidad pleural es un espacio virtual entre la pleura parietal y la pleura visceral. Posee una capa de líquido casi capilar, una pequeña cantidad (unos 15 cm³) de líquido lubricante denominado líquido pleural. El volumen normal de líquido pleural contenido en esta cavidad es de 0,1 a 0,2 ml/kg de peso.
Los médicos llamamos derrame pleural al acúmulo patológico de líquido en el espacio pleural. También se le puede llamar pleuresía o síndrome de interposición líquida. Esto una enfermedad frecuente, con más de 50 causas reconocidas entre las que se incluyen enfermedades locales de la pleura, del pulmón subyacente, enfermedades sistémicas, disfunción de órganos y fármacos.
En condiciones de normalidad existe un trasiego fisiológico de líquido pleural que se filtra, pero cuando hay un desequilibrio entre la formación y la reabsorción se produce el derrame pleural. 
No voy a hablar aquí en este momento de la fisiología de la pleura ni de la etiología y patogenia de los derrames pleurales, un tema que puede ser muy largo y que a mi personalmente me ha apasionado siempre, siendo la patología pleural una de las que mas me ha gustado siempre desde mi formación como neumólogo. Hoy simplemente voy  a comentar lago sobre unos casos muy concretos de derrame pleural que los médicos conocemos con el curioso nombre de Tumor fantasma pulmonar.
Un tumor fantasma o tumor evanescente del pulmón es una acumulación localizada de líquido en el espacio pleural interlobar secundaria a insuficiencia cardiaca, es pues, un derrame pleural interlobar localizado que simula una masa pulmonar y que puede llevar a importantes errores diagnósticos médicos.
Esta entidad fue descrita por primera vez por Stewart en 1928 y aunque es una entidad infrecuente ya es bien conocida por los médicos, pues ello es de importancia para el diagnóstico diferencial.
La incidencia del tumor fantasma pulmonar es baja: 45 casos publicados hasta 1956 y 7 casos adicionales descritos en la literatura médica Americana hasta 1971. Aunque desde entonces las descripciones se han multiplicado. 
La patogenia el porqué este derrame pleural se halla circunscrito a las cisuras) de la aparición del tumor fantasma no es bien conocida aunque se especula con su asociación a defectos congénitos de la pleura  (indentaciones congénitas pleurales) y la presencia de adherencias debidas a procesos pleurales antiguos (pleuritis obliterativa prebia).
En la mayoría de los casos descritos de tumor fantasma pulmonar suele haber asociados signos clínicos de insuficiencia cardiaca congestiva (ICC) aunque algunos pacientes pueden no presentarlos y el derrame ser un hallazgo radiológico subclínico.
Los hitos que nos ponen sobre la sospecha diagnóstica correcta son pues, esencialmente, la presencia de una cardiopatía y la corroboración de una insuficiencia cardiaca.
En cuanto a su localización este falso tumor pulmonar sigue como es lógico las leyes de la asimetría vigente en el hidrotórax de la ICC, es decir, es más frecuente en el lado derecho que en el izquierdo y mas en la cisura transversa que en la oblicua.
La morfologia es en general circular, ovoidea, elíptica o fusiforme y en cuanto a su número pueden ser únicos (la mayoría) o múltiples, pero normalmente no más de tres.
Un hecho capìtal en su evolución clínica y muy útil para el diagnóstico es la celeridad con que la imagen radiológica adquiere sus dimensiones finales. Casi se puede decir que el solo hecho de tener en cuenta este tempo  evolutivo hace poco plausible las otras posibilidades diagnósticas diferenciales como son el infarto pulmonar, la neumonía redonda, la tuberculosis pulmonar, las neoplasias, las atelectasias del lóbulo medio, los quistes puolmonares congénitos o parasitarios y loa aneurismas arteriovenosos pulmonares. 
Un punto importante a recordar es que la primera enfermedad a descartar en el diagnóstico diferencial, tanto por su frecuencia como por su mayor gravedad, es el carcinoma pulmonar.
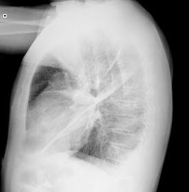
Aquí os dejo la imagen radiológica que acabo de ver en la guardia de hoy de un paciente monorreno (es decir con un solo riñón), con insuficiencia renal crónica  y con una Insuficiencia Cardiaca congestiva, en la que puede verse un tumor fantasma en el pulmón derecho:
Después de la primera sesión de diálisis ya no se ven los datos radiológicos de edema pulmonar pero se aprecia incluso mejor la imagen de líquido intercisural dando lugar al tumor evanescente o tumor fantasma.
Este paciente ya está estabilizado sin su edema pulmonar, ahora me queda mantenerlo estable hasta mañana por la mañana en la que se hará una nueva sesión de diálisis. Ya veremos entonces si desaparece completamente este líquido de la cisura pulmonar. Debería quedar como estaba hace 4 meses:





